Estética Dental en Madrid y Fuenlabrada: Tu Mejor Sonrisa Empieza Aquí
¿Sientes vergüenza al sonreír? ¿Tapas la boca al reír o en las fotos? No estás solo. Millones de personas sienten que su sonrisa no refleja cómo se sienten por dentro. En Smilelife lo sabemos bien: llevamos más de 35 años ayudando a nuestros pacientes a recuperar la confianza a través de su sonrisa. Nuestro equipo de especialistas en Madrid y Fuenlabrada combina tecnología avanzada con un trato cercano. El resultado: sonrisas naturales, duraderas y, sobre todo, tuyas. La primera consulta es gratuita y sin compromiso.
📞 Llámanos: 913 025 289 — Primera consulta gratuita
Tratamientos de estética dental en Smilelife
Estos son los tratamientos con los que más transformamos sonrisas cada día:
| Tratamiento | Qué soluciona | Duración de resultados | Más información |
|---|---|---|---|
| Carillas dentales | Manchas, dientes astillados, forma y tamaño irregular | 10–20 años | Ver carillas dentales → |
| Blanqueamiento dental | Dientes amarillos o grises por tabaco, café o envejecimiento | 1–3 años (con mantenimiento) | Ver blanqueamiento dental → |
| Diseño de sonrisa digital | Sonrisa sin armonía, proporciones incorrectas | Permanente (según tratamiento) | Ver diseño de sonrisa → |
| Coronas estéticas de zirconio | Dientes muy dañados o con restauraciones antiestéticas | 15–20 años | Ver implantes de zirconio → |
| Remodelado gingival | Sonrisa gingival (encías muy visibles) o encías irregulares | Permanente | Consultar en clínica |
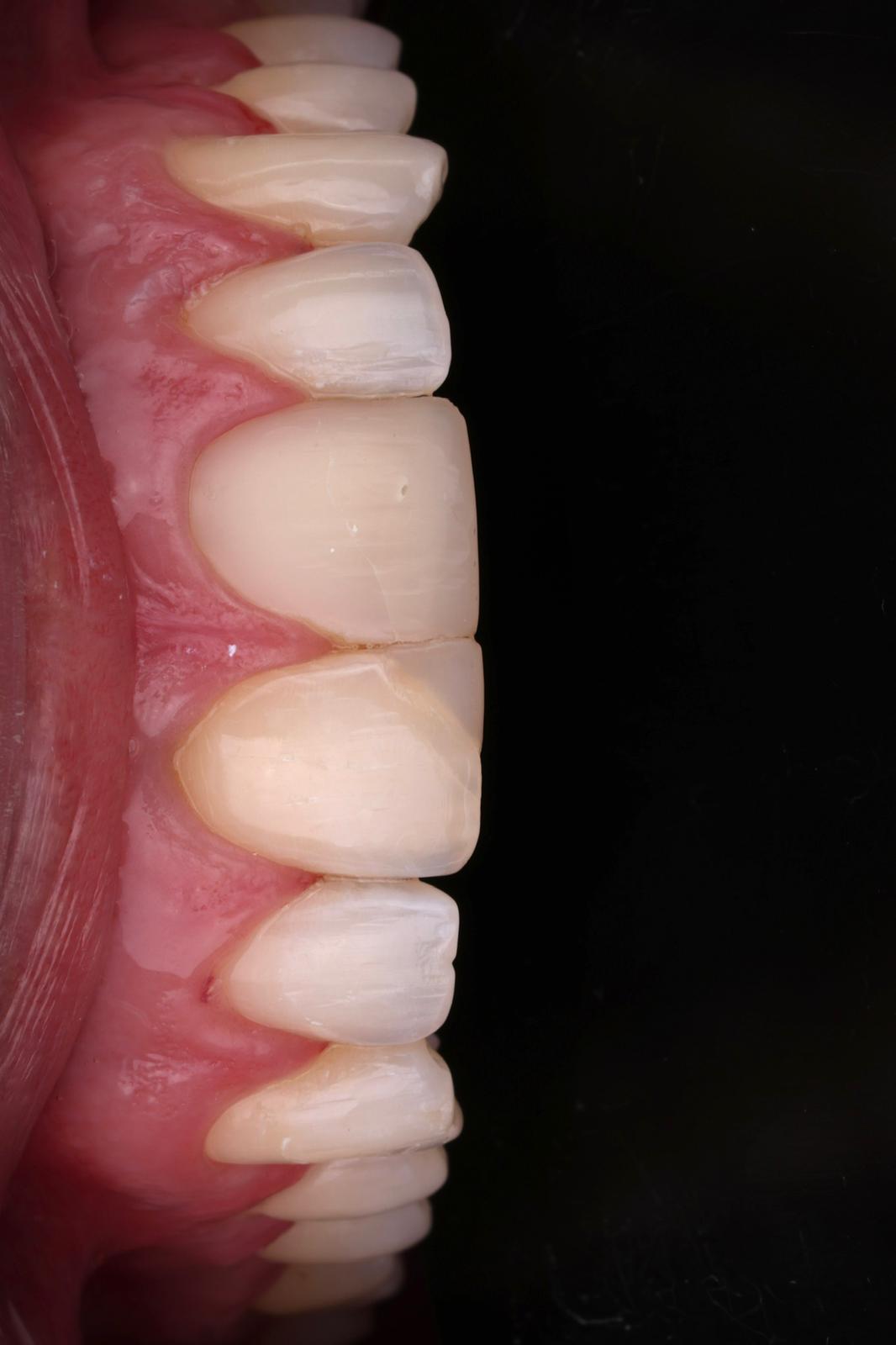
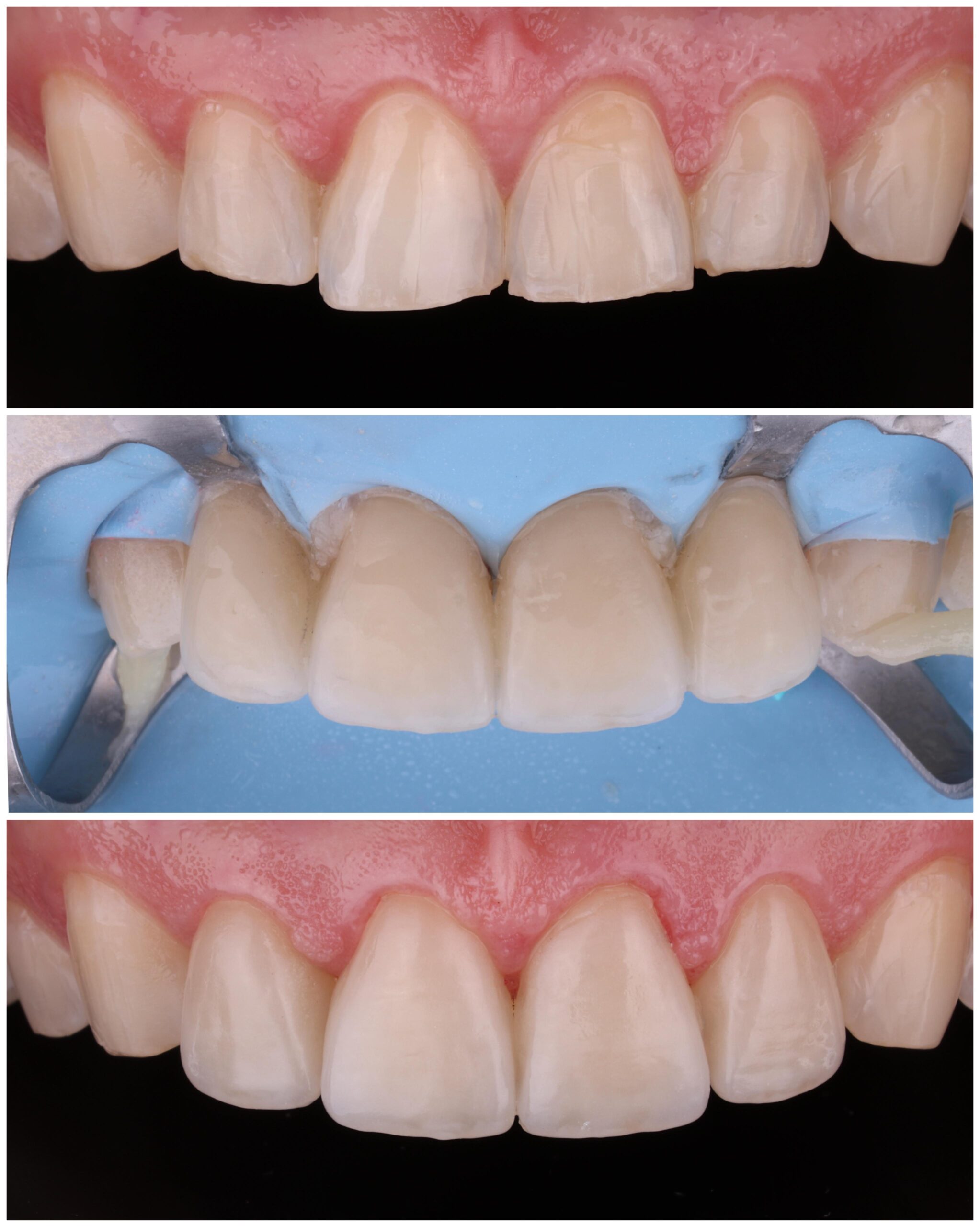
Carillas dentales: transforma tu sonrisa en dos visitas
Las carillas son finas láminas que se adhieren a la superficie de tus dientes. Cambian el color, la forma y el tamaño en muy poco tiempo. Tienes dos opciones principales.
Carillas de porcelana: son las más resistentes y las más naturales. Duran hasta 20 años con un cuidado básico. Requieren un pequeño tallado del diente para colocarlas.
Carillas de composite: más económicas y reversibles. Se aplican en una sola sesión sin desgastar el diente. Ideales si buscas un cambio rápido o quieres probar antes de decidirte por la porcelana.
En ambos casos, el resultado es inmediato: sales de la clínica con una sonrisa diferente. Nuestros especialistas estudian tu caso y te recomiendan la opción más adecuada según tu situación y tus objetivos.
¿Quieres saber cuál te conviene? Consúltanos sin compromiso:
→ Carillas dentales en Madrid | Carillas dentales en Fuenlabrada
Blanqueamiento dental profesional: resultados reales, sin dañar el esmalte
El blanqueamiento dental profesional no tiene nada que ver con los kits del supermercado. En Smilelife usamos sistemas clínicos de alta concentración que aclaran tu sonrisa varios tonos de forma segura y controlada.
Trabajamos con dos modalidades:
Blanqueamiento en clínica: resultado en una sola sesión de 60 a 90 minutos. Perfecto si tienes poco tiempo o buscas un cambio inmediato antes de un evento especial.
Blanqueamiento combinado (clínica + férulas para casa): los resultados son más profundos y duraderos. Empezamos con la sesión en clínica y te damos unas férulas personalizadas para que refuerces el tratamiento en casa durante unos días.
En ambos casos supervisamos todo el proceso. Así evitamos la sensibilidad dental y garantizamos que tu esmalte queda intacto. Los resultados duran entre uno y tres años según tus hábitos.
→ Blanqueamiento dental en Madrid | Blanqueamiento dental en Fuenlabrada
Diseño de sonrisa digital: ve tu sonrisa antes de empezar
El Diseño de Sonrisa Digital (DSD) es una tecnología que te permite ver cómo va a quedar tu sonrisa antes de realizar ningún tratamiento. Tomamos fotografías y medidas de tu cara, tus dientes y tu gesto natural. Con esa información, creamos una simulación digital de tu sonrisa ideal.
¿El resultado? Tú decides y apruebas el plan antes de que empiece nada. Sin sorpresas. Sin arrepentimientos. El DSD es el punto de partida de la mayoría de nuestros casos de estética compleja. Es la forma más segura de asegurarte de que el resultado final te va a encantar.
→ Diseño de sonrisa digital en Madrid
Implantes de zirconio: estética también en implantes
Cuando necesitas un implante, la estética importa tanto como la función. Las coronas de zirconio son la opción premium: son blancas, translúcidas y se integran de forma tan natural que nadie distingue el implante del resto de tus dientes.
A diferencia de las coronas metálicas tradicionales, el zirconio no deja esa línea gris en la encía con el paso del tiempo. Es el material más avanzado disponible hoy en implantología estética. Además, es 100 % biocompatible: tu cuerpo lo acepta sin problemas.
Si vas a ponerte un implante, mereces el mejor resultado posible. El zirconio te lo garantiza.
→ Implantes de zirconio en Madrid | Implantes de zirconio en Fuenlabrada
Casos reales de estética dental














¿Quieres ver más casos? Pídenos el portfolio completo en tu primera visita gratuita.
Precio y financiación de la estética dental
El precio de cada tratamiento depende de tu caso concreto. Por eso no publicamos tarifas fijas: preferimos darte un presupuesto personalizado y sin compromiso tras explorar tu situación.
Lo que sí podemos confirmarte:
- Primera consulta completamente gratuita en Madrid y Fuenlabrada
- Financiación hasta 42 meses sin intereses (sujeta a aprobación)
- Aceptamos los principales seguros dentales — consulta si el tuyo está incluido
- Presupuesto detallado por escrito antes de comenzar cualquier tratamiento
No dejes que el precio sea un obstáculo. Hay una solución para cada bolsillo.
📞 Pide tu cita gratuita: 913 025 289
Preguntas frecuentes sobre estética dental
¿Qué tratamientos incluye la estética dental?
La estética dental engloba todos los tratamientos que mejoran el aspecto visual de tu sonrisa. Los más habituales son las carillas dentales, el blanqueamiento dental, el diseño de sonrisa digital, las coronas de zirconio y el remodelado gingival. En Smilelife también combinamos varios tratamientos cuando el caso lo requiere, para conseguir el resultado más completo posible.
¿Cuánto cuesta un tratamiento de estética dental en Madrid?
El coste varía según el tratamiento y el número de dientes afectados. Un blanqueamiento profesional es más accesible que unas carillas completas, por ejemplo. En Smilelife hacemos una exploración gratuita y te entregamos un presupuesto detallado y sin compromiso. Así conoces el coste exacto antes de decidir.
¿Se puede financiar la estética dental?
Sí. En Smilelife ofrecemos financiación de hasta 42 meses para que puedas empezar tu tratamiento hoy sin esperar. Las cuotas se adaptan a tu presupuesto mensual. Consulta las condiciones en cualquiera de nuestras clínicas de Madrid o Fuenlabrada.
¿La primera consulta es gratuita?
Sí, totalmente gratuita y sin compromiso. En esa primera visita, nuestro especialista explora tu boca, escucha tus objetivos y te explica qué opciones tienes. No pagas nada hasta que decidas empezar el tratamiento, si así lo deseas.
¿Cuánto tiempo se tarda en ver resultados?
Depende del tratamiento. Con el blanqueamiento dental puedes ver resultados en una sola sesión. Con las carillas, en dos visitas. El diseño de sonrisa completo puede requerir varias semanas si combina diferentes tratamientos. En tu consulta gratuita te explicamos exactamente los plazos de tu caso.
Pide tu primera consulta gratuita
Tu sonrisa merece lo mejor. Y el primer paso no te cuesta nada.
Llámanos, escríbenos o ven directamente a cualquiera de nuestras clínicas. Nuestro equipo te atiende con toda la calma que necesitas.
📍 Smilelife Madrid
Smilelife Clínica Dental (Dres. Moraleda & Asociados)
Calle Platerías 3-Bajo, 28016 Madrid
☎ 913 025 289
Lunes a viernes: 10:00 – 21:00
Pedir cita en Madrid →
📍 Smilelife Fuenlabrada
Smilelife Clínica Dental (Dres. Moraleda & Asociados)
Calle Móstoles 39, 28943 Fuenlabrada (Madrid)
☎ 916 098 159
Lunes a jueves: 10:00 – 21:00 | Viernes: 10:00 – 19:00
Pedir cita en Fuenlabrada →
También te puede interesar
- Implantes dentales en Madrid — Soluciones fijas y duraderas para dientes perdidos
- Ortodoncia invisible en Madrid — Alinea tus dientes sin brackets
- Limpieza dental profesional — Higiene profunda con ultrasonidos
- Clínica dental en Fuenlabrada — Todos nuestros tratamientos en Fuenlabrada
- Estética dental en Fuenlabrada — La misma calidad, más cerca de ti