Tabla de contenidos
¿En qué consiste el blanqueamiento dental profesional?
Como dentista de Smilelife, una de las preguntas que más me repiten en consulta es exactamente esta. Te cuento lo que suelo explicarle a mis pacientes, sin rodeos y con la experiencia de los casos reales que he ido viendo con los años.
— Dr. Diego Moraleda
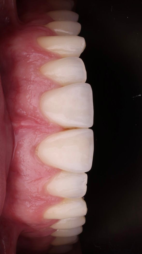
El blanqueamiento dental profesional es un tratamiento estético que aclara el tono de los dientes de forma segura y controlada, eliminando manchas y decoloraciones acumuladas por el café, té, vino, tabaco o el paso del tiempo. A diferencia de los productos de venta libre, el blanqueamiento profesional utiliza concentraciones de agente blanqueador superiores y técnicas que garantizan resultados visibles y duraderos.
Tipos de blanqueamiento dental
Blanqueamiento en clínica (en consulta)
Se realiza en una sola sesión de aproximadamente 60-90 minutos. Aplicamos un gel blanqueador de alta concentración activado con luz LED o láser. Los resultados son inmediatos: puedes conseguir un aclaramiento de hasta 6-8 tonos en una sola visita.
Blanqueamiento domiciliario supervisado
Fabricamos unas férulas a medida de tu boca y te proporcionamos un gel blanqueador de uso doméstico. El paciente aplica el gel durante unas horas al día (o durante la noche) durante 2-3 semanas. Los resultados son progresivos y muy naturales.


Tratamiento combinado
La opción más efectiva: una sesión en clínica para un impulso inicial + mantenimiento en casa con férulas. En Smilelife solemos recomendar esta combinación para obtener los mejores resultados y mayor duración del efecto.
¿Quién puede hacerse un blanqueamiento dental?
Casi cualquier persona adulta con dientes saños puede someterse a un blanqueamiento. Sin embargo, es imprescindible una valoración previa para descartar caries, enfermedad periodontal o sensibilidad dental extrema. En Smilelife siempre realizamos una revisión completa antes de iniciar cualquier tratamiento estético.
¿Cuánto duran los resultados?
Los resultados de un blanqueamiento profesional pueden durar entre 1 y 3 años, dependiendo de los hábitos del paciente. Para mantener una sonrisa blanca durante más tiempo, recomendamos:


- Limitar el consumo de café, té, vino tinto y alimentos con colorantes
- No fumar
- Mantener una buena higiene oral con cepillado y revisiones periódicas
- Realizar retoques de mantenimiento anuales con las férulas domiciliarias
¿Es seguro el blanqueamiento dental?
Sí, siempre que se realice bajo supervisión profesional. Los productos utilizados en clínica están testados y aprobados. El efecto secundario más común es una sensibilidad dental transitoria durante las primeras 24-48 horas, que desaparece de forma espontánea.
Blanqueamiento dental en Smilelife: proceso
- Consulta y diagnóstico: Evaluamos el estado de tus dientes y encías, tomamos el tono actual y valoramos el resultado esperable.
- Limpieza profesional: Antes del blanqueamiento realizamos una higiene dental para eliminar sarro y placa, maximizando la efectividad del tratamiento.
- Sesión de blanqueamiento: Protegemos las encías y aplicamos el gel blanqueador con activación lumínica.
- Resultado y mantenimiento: Comparamos el tono conseguido y te entregamos las férulas y gel domiciliario para mantenimiento.
¿Quieres una sonrisa más blanca y luminosa? En Clínica Smilelife te ofrecemos blanqueamiento dental profesional con resultados desde la primera sesión. Pide tu cita en Madrid o Fuenlabrada.
¿El blanqueamiento funciona en todos los dientes?
El blanqueamiento funciona en dientes naturales con manchas extrínsecas (café, tabaco, vino). No aclara empastes, coronas ni carillas existentes. Las manchas por tetraciclinas o fluorosis pueden requerir tratamientos complementarios como carillas.
📞 Consulta gratuita de blanqueamiento: 913 025 289 | Más información
Si algo de lo que has leído aquí te suena a tu caso, lo mejor que puedes hacer es verlo con ojos de profesional. En Smilelife ofrecemos una primera visita gratuita (valor 150 €) en nuestras dos clínicas: Madrid (Chamartín) y Fuenlabrada. Llámaños al 91 302 52 89 o al 91 609 81 59 y lo hablamos sin presión.