¿Qué son las carillas dentales?
Las carillas dentales son láminas finas que se adhieren a la cara visible de los dientes para mejorar su aspecto: color, forma, tamaño y alineación. Son la solución estética más rápida y espectacular para conseguir una sonrisa armoniosa y natural.
carillas-dentales-tipos-precio-duracion
Tipos de carillas dentales
Carillas de porcelana (cerámica)
Son la opción premium. Se fabrican en laboratorio con cerámica de alta resistencia. Ventajas:


- Resultado estético superior: translucidez y brillo natural
- Durabilidad: 15-20 años con buen cuidado
- Resistencia a las manchas
- Grosor ultrafino (0,3-0,5mm) que permite mínima preparación del diente
Carillas de composite
Se realizan directamente sobre el diente en una sola sesión. Ventajas:
- Precio más accesible
- Tratamiento reversible y reparable
- Resultado en una sola visita
- Duración: 5-8 años con mantenimiento adecuado
¿Cuándo están indicadas las carillas?
- Dientes con manchas permanentes que no responden al blanqueamiento
- Dientes pequeños, desgastados o fracturados
- Espacios entre dientes (diastemas)
- Dientes ligeramente torcidos o desalineados sin necesidad de ortodoncia
- Forma dental irregular o asimétrica
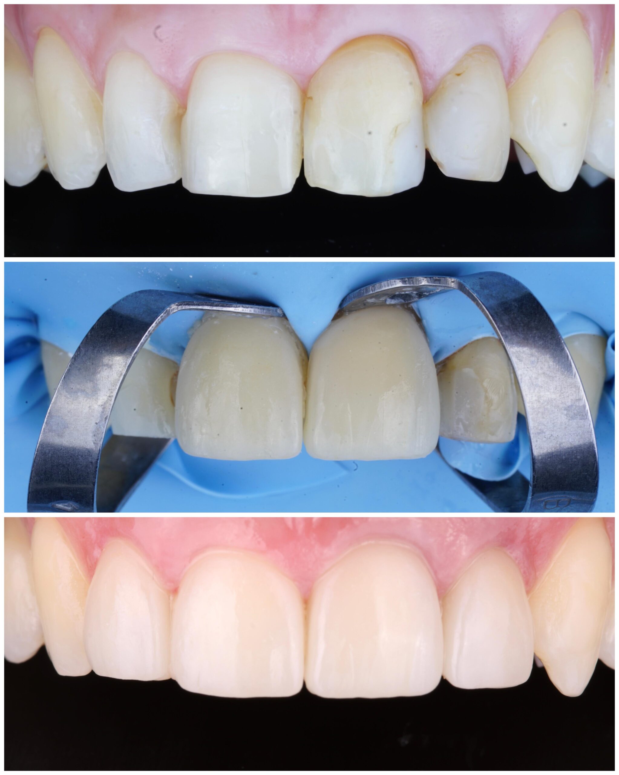
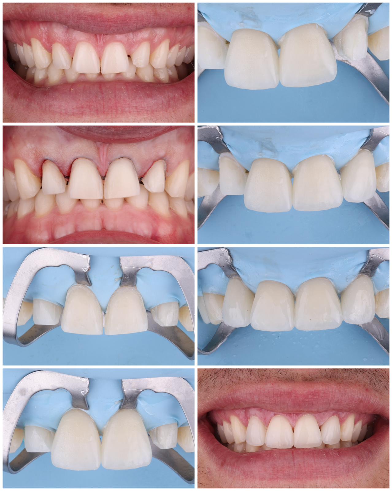
El proceso de colocación en Smilelife
Carillas de porcelana (2-3 citas)
- Diseño digital de sonrisa: Planificamos el resultado final con fotografías y software de diseño para que veas el resultado antes de empezar
- Preparación y provisionales: Preparamos mínimamente los dientes y colocamos carillas provisionales
- Cementado definitivo: Colocamos las carillas de porcelana fabricadas en laboratorio con adhesión de alta resistencia
Carillas de composite (1 cita)
- Selección de color y diseño
- Aplicación directa del composite capa a capa
- Modelado, pulido y ajuste en la misma sesión
Precio de las carillas dentales en Madrid
El precio varía según el tipo de material y el número de dientes a tratar. En Smilelife ofrecemos presupuestos personalizados y financiación sin intereses. Una sonrisa completa con carillas suele implicar entre 6 y 10 piezas (los dientes más visibles al sonreír).




Cuidados y mantenimiento
- Cepillado normal con pasta no abrasiva
- Evitar morder objetos duros (bolígrafos, hielo, uñas)
- Usar férula de descarga si hay bruxismo
- Revisiones semestrales en Smilelife para comprobar el estado de las carillas
¿Sueñas con una sonrisa perfecta? En Smilelife diseñamos tu sonrisa ideal con carillas dentales de máxima calidad. Pide tu cita de valoración en Madrid o Fuenlabrada.
Dres. Moraleda — Estética dental y rehabilitación oral de confianza.
En Smilelife combinamos experiencia y sensibilidad para que tu sonrisa refleje lo mejor de ti.