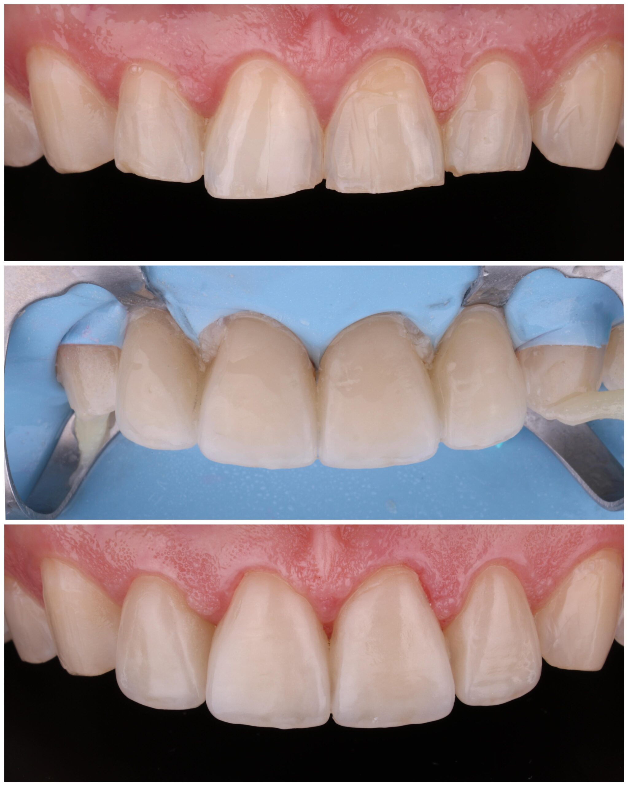
¿Qué es una corona de zirconio?
El zirconio (dióxido de circonio) es un material cerámico de última generación que ha revolucionado la odontología protésica. Las coronas de zirconio son restauraciones libres de metal que combinan una resistencia excepcional con una estética superior, imitando el aspecto natural de los dientes con gran fidelidad.
Ventajas del zirconio frente a otros materiales
- Estética superior: Translucidez similar al diente natural, sin el borde gris metálico de las coronas metal-cerámica
- Biocompatibilidad: Libre de metal, ideal para pacientes alérgicos o con sensibilidades
- Resistencia: Dureza comparable al metal, soporta las fuerzas de masticación sin problema
- Menor desgaste del diente opuesto: A diferencia de otros materiales, el zirconio es amable con los dientes antagonistas
- Sin oxidación: Al no tener metal, no se oxida ni produce tinciones en la encía
- Menos sensibilidad: El zirconio es un excelente aislante térmico, reduciendo la sensibilidad al frío y calor
¿Cuándo se recomienda una corona de zirconio?
- Dientes anteriores donde la estética es prioritaria
- Sobre implantes dentales (tanto anteriores como posteriores)
- Pacientes con alergias a metales
- Rehabilitaciones completas donde se busca un resultado natural
- Reemplazo de coronas antiguas de metal-cerámica
El proceso en Smilelife
- Preparación del diente: Se talla mínimamente para crear espacio para la corona
- Impresión digital: Escáner intraoral 3D para capturar la forma exacta (sin masilla incómoda)
- Diseño CAD/CAM: La corona se diseña digitalmente para un ajuste perfecto
- Fresado y sinterización: El bloque de zirconio se mecaniza en el laboratorio
- Maquillaje y glaseado: Se personaliza el color y la translucidez para igualar los dientes vecinos
- Cementado: Se fija la corona de forma definitiva
¿Cuánto dura una corona de zirconio?
Con los cuidados adecuados, una corona de zirconio puede durar 15-25 años o más. La durabilidad depende de una buena higiene oral, revisiones regulares y evitar hábitos nocivos como morder objetos duros.




¿Necesitas una corona dental? En Smilelife trabajamos con zirconio de la más alta calidad para ofrecerte restauraciones estéticas, resistentes y duraderas. Consulta con nuestros especialistas en Madrid o Fuenlabrada.
Dres. Moraleda — Expertos en odontología restauradora y rehabilitación oral.
En Smilelife cada restauración se hace con precisión, materiales de primera calidad y el cariño de quien lleva más de 35 años cuidando sonrisas.